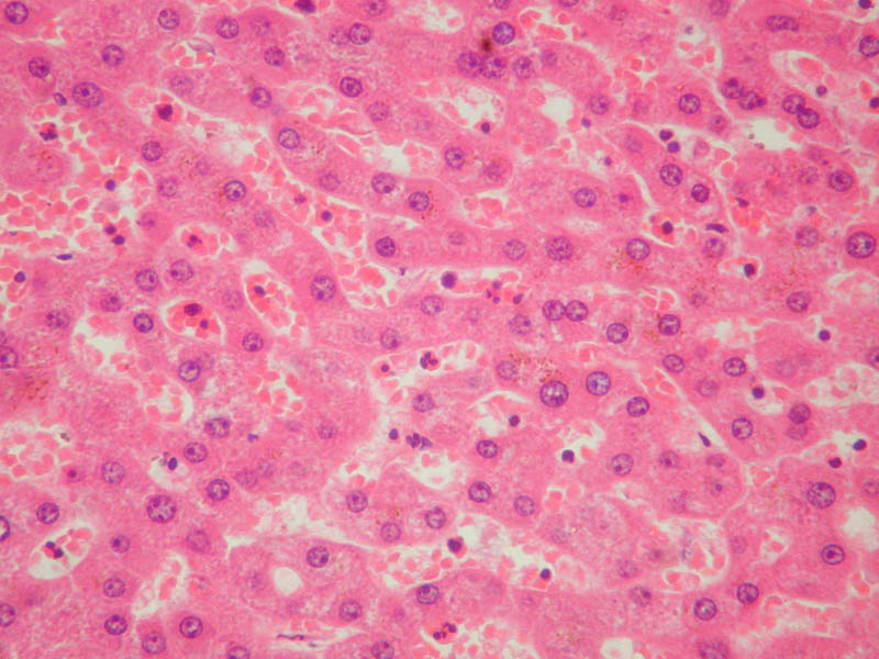
3.2.1. Die histologisch-orientierte Farbwahl
Maus-Leber-Zelle gefärbt mit Haematoxilin und Eosin:
 Standard-Färbungsmittel
(H&E)
 Nuclei:
blau/violett (H); das basophile Chromatin des
Nucleus tendiert
stark zum Blau, aufgrund
des hohen
Gehalts an Nucleinsäure
 Übrige
Zelle: rot/rosa (E); Grund: acidophile Proteine

|