3. ZellenVisualisierung

3.3.2.5. Das agranuläre ER

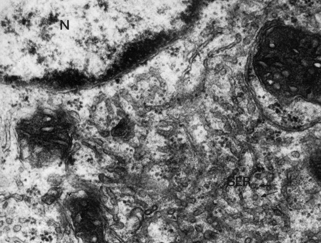
Interstitielle Zelle aus dem Hoden der Maus.
N Nucleus,
SER
Glattes Endoplasmatisches Retikulum,
Pfeile zeigen verzweigte tabuläre Struktur